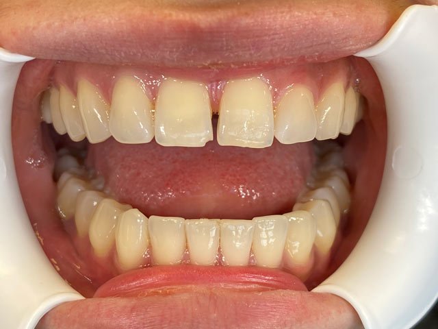
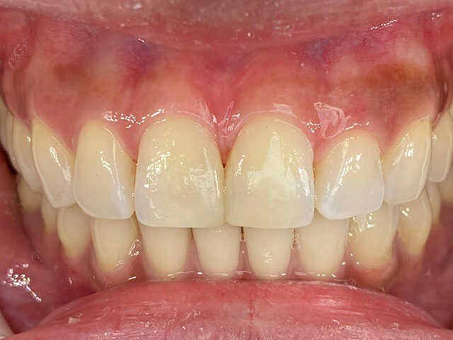
Before and After Gallery

Explore our before and after gallery to see the beautiful results Dr. Thomas Yun has helped our patients achieve. To find out more about our dental services and schedule an appointment with our dentist in Elgin, Illinois, call Randall Meadows Dental Center today at 847-888-0011!

Skip to content
847-906-2541